
Loki’s Broken Leg

Loki is an almost 1 year old boxer puppy who presented to our clinic with severe pain to his front left leg. Loki’s parents were at work all day and came home to him this way. Nobody really knew exactly how the injury happened. Upon examination, and consultation with one of our surgeons, Loki was diagnosed with a broken left front leg.
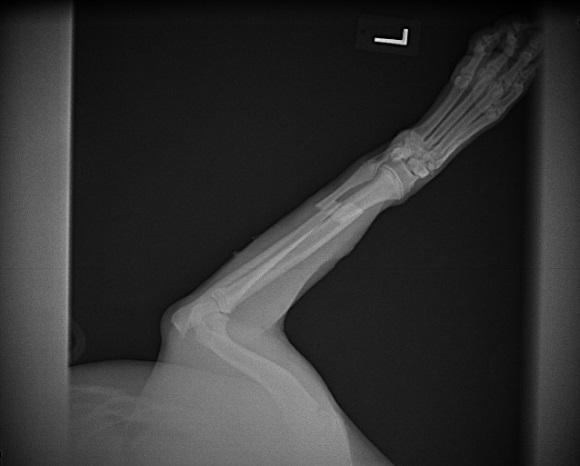
His radius and ulna were both fractured, the two bones that correspond with our forearm. The best repair for this type of fracture is a metal plate. Drs. Yoder and Coughlin placed a pin down his ulna to align the bones and assist in stabilizing the area. Then they used screws to place a metal plate on his radius to hold the two pieces of bone close together and prevent movement. For the first month Loki wore a splint to help keep everything stable in such an active puppy. In eight weeks he was walking with a slight limp and was getting back to his normal activities.
Loki’s fracture before and after surgery… This is a picture of the fracture. This is a Transverse (straight) fracture of his radius and ulna. These images are post surgery checking for appropriate pin placement and alignment of the fracture.
Loki’s fracture before and after surgery…

This is a picture of the fracture.

This is a Transverse (straight) fracture of his radius and ulna

These images are post surgery checking for appropriate pin placement and alignment of the fracture.


